발목에 인공관절 수술은 안 하나요?

#아크 인공관절 수술

발목은 인공관절 수술을 하지 않나요?

“나는 발목이 고정될 것이라고 들었는데, 인공 관절 수술보다는 인공 관절 수술보다 더 많은 것들이 있다”고 인공 관절 수술을 받고 있다.발목 관절염이 있는 환자 3분의 3분의 3분의 1은 인공 관절 수술을 받고 있다.반면, 발 클리닉 관절 수술을 하는 미국에서는 인공지능 관절 수술을 받고 최근 국내보다 적극적으로 수행되고 발목 인공 관절 수술을 받고 있다.#크리 인공 관절 수술을 하는 이유는 왜 더 고정됩니까?

발목 인공 관절 수술을 수행하는 데 어려움을 겪고 있기 때문이다.우선, 발목 인공 관절 장비 자체는 다른 공동 장비 자체가 부족해서 인공 관절 부위에 비해 인공지능 관절이 덜 관심이 적고 생산되지 않기 때문이다.

미국, 유럽 등 발목 인공 관절 수술을 하는 회사들은 인공 관절 수술에서 비교적 활발하지만, 인공 관절 수술을 하지 않는다.또한 국내 발목 인공지능을 만드는 것이 좋을 것 같아. 하지만 수요가 높지 않다고 생각합니다.또한 발목에 비해 상대적으로 적은 수의 발목이 있고 다른 관절에 비해 인공 관절에 비해 조작하기가 어렵다.발목 인공 관절 수술은 시간이 걸리므로 인공 관절 수술을 받을 수 있기 때문에 인공 관절 수술을 받을 수 있는 병원이 거의 없다.나는 한국에서 정보를 공유하고 데이터를 축적하고 데이터를 축적하고 데이터를 축적하는 것이 필요하다고 생각한다.

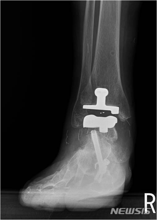
발목 인공관절 수술 후

발목 인공관절 수술 후

발목 인공 관절 수술을 할 때 가장 중요한 것은 운동입니다.이는 재발 방지 및 복구 단계를 통해 재발 방지 및 복구 단계를 통해 신속하게 복구 단계를 신속하게 복구할 수 있습니다.발목 인공 관절 수술은 많지만 무릎 관절과 힙합 관절과 힙합 관절에 비해 높은 고장률이 높기 때문에 주의해야 한다.또한 인공 관절 수술 실패 후 다양한 발 관절질환 치료 실패 이후 치료의 지식은 중요하다.#아 인공 관절 수술

발과 발목에 문제가 있습니다 저자 서상교 출판 비타북스 2021년 12월 20일 출간.

발과 발목에 문제가 있습니다 저자 서상교 출판 비타북스 2021년 12월 20일 출간.

서울특별시 강서구 공항대로 237 서울대 서울병원

서울특별시 강서구 공항대로 237 서울대 서울병원